These are the signs that he is cr… See more

Skin irritation in the groin area is a widespread concern that can affect people of all genders and ages. The groin is a warm, moist, and often confined environment, which makes it a prime area for various dermatological issues. Understanding the causes, symptoms, and safe treatments of these conditions is essential for maintaining good hygiene and skin health.

1. Ingrown Hairs

What They Are

Ingrown hairs occur when hair curls back or grows sideways into the skin instead of rising up from it. This often causes red, itchy bumps that resemble pimples. In some cases, ingrown hairs can become infected, resulting in painful pus-filled lesions.

Causes

  • Shaving, waxing, or plucking hair too closely
  • Wearing tight clothing that causes friction
  • Naturally curly or coarse hair

Symptoms

  • Small, round bumps that may contain pus
  • Redness and inflammation
  • Itching or discomfort in the affected area

Treatment

  • Apply a warm compress to reduce swelling
  • Use exfoliating cleansers to remove dead skin
  • Avoid shaving until the area heals
  • In severe cases, consult a dermatologist

Source: American Academy of Dermatology

Ingrown hairs - NHS

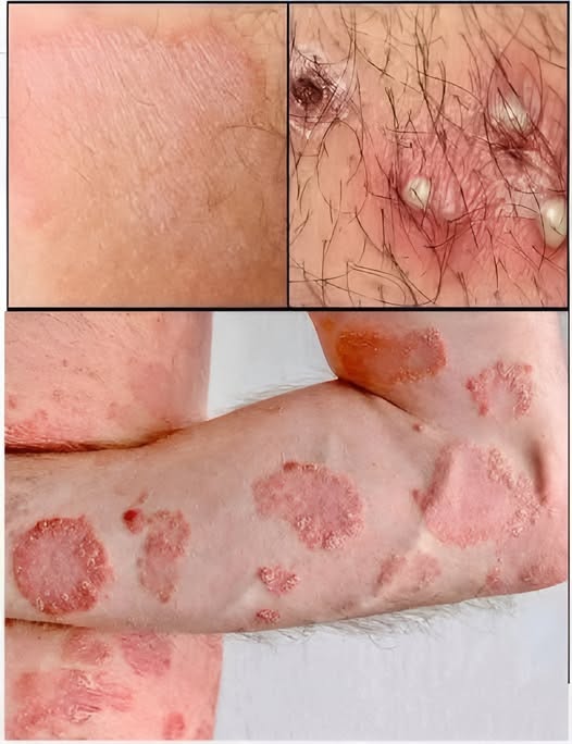
2. Folliculitis

What It Is

Folliculitis is an inflammation of the hair follicles caused by bacteria, fungi, or irritation. It appears as red or white-headed pimples around hair follicles and can be itchy or painful.

Causes

  • Bacterial infections, especially Staphylococcus aureus
  • Friction from tight clothing
  • Shaving or waxing
  • Exposure to hot tubs or poorly sanitized water

Symptoms

  • Red, inflamed bumps or pustules
  • Mild burning or itching
  • Tender skin around hair follicles

Treatment

  • Clean the area with antibacterial soap
  • Apply over-the-counter antibiotic ointments
  • Use warm compresses
  • In persistent or severe cases, oral antibiotics may be required

Source: Mayo Clinic

Folliculitis treatment and prevention - Harvard Health

3. Tinea Cruris (Jock Itch)

What It Is

Tinea cruris, commonly known as jock itch, is a fungal infection that affects the groin, inner thighs, and buttocks. It is more common in men but can affect anyone. The infection thrives in warm, moist environments.

Causes

  • Excessive sweating
  • Wearing tight or non-breathable clothing
  • Sharing towels or personal items
  • Poor hygiene

Symptoms

  • Red, scaly patches with raised edges
  • Itching, burning, or irritation in the groin
  • Rash that may spread to thighs or buttocks

Treatment

  • Use antifungal creams like clotrimazole or terbinafine
  • Keep the area clean and dry
  • Avoid sharing personal items
  • Wear loose-fitting, breathable underwear

Source: Centers for Disease Control and Prevention (CDC)

4. Contact Dermatitis

What It Is

Contact dermatitis occurs when the skin reacts to an allergen or irritant. This reaction can happen due to detergents, soaps, synthetic fabrics, or body lotions.

Causes

  • Allergic reactions to perfumes, dyes, or latex
  • Irritation from tight or unwashed clothing
  • Prolonged exposure to sweat or moisture

Symptoms

  • Red, inflamed, or itchy patches
  • Peeling or flaking skin
  • Small blisters in some cases

Treatment

  • Avoid known irritants or allergens
  • Use fragrance-free moisturizers
  • Apply hydrocortisone cream to relieve itching
  • Consult a dermatologist if symptoms persist

Source: Cleveland Clinic

Contact Dermatitis | Dermatology and Skin Health - Dr. Mendese

5. Intertrigo

What It Is

Intertrigo is a rash that occurs in skin folds, including the groin area. It results from friction, moisture, and lack of air circulation.

Causes

  • Excessive sweating
  • Friction between skin folds
  • Obesity or being overweight
  • Wearing tight, non-breathable clothing

Symptoms

  • Red, raw skin
  • Burning or stinging sensation
  • Bad odor from the affected area

Treatment

  • Keep the area dry with talcum or antifungal powders
  • Use barrier creams like zinc oxide
  • Treat any secondary infections with antifungal or antibacterial creams

Source: Healthline

Understanding Intertrigo, Misdiagnoses, Misconceptions, FAQs, and Treatments. | SPRINGS Dermatology MD

Preventive Tips

Maintaining good hygiene and choosing the right skincare habits can go a long way in preventing groin irritation. Here are some best practices:

  • Shave with care: Use a clean, sharp razor and shave in the direction of hair growth. Consider using shaving cream or gel to reduce friction.
  • Choose breathable clothing: Wear cotton underwear and avoid tight synthetic fabrics.
  • Practice good hygiene: Wash the area daily and after heavy sweating. Dry thoroughly to prevent fungal growth.
  • Avoid sharing personal items: Towels, razors, and clothing can carry fungi or bacteria.
  • Use fragrance-free products: Harsh chemicals or perfumes can trigger contact dermatitis.

When to See a Doctor

While many groin-related skin issues can be treated at home, consult a healthcare provider if:

  • The rash persists for more than two weeks
  • There’s severe pain, swelling, or pus
  • You have a fever or flu-like symptoms
  • The rash spreads quickly or returns frequently

A medical professional can diagnose the condition accurately and prescribe the right treatment to prevent complications.

Conclusion

Groin area irritation may be uncomfortable, but it’s often preventable and treatable with proper care. Whether it’s ingrown hairs from shaving or a fungal infection like jock itch, the key is to maintain cleanliness, choose the right clothing, and address symptoms early. If in doubt, don’t hesitate to seek medical advice for a proper diagnosis and treatment plan.

Leave a Reply

Your email address will not be published. Required fields are marked *